본문 바로가기
건강과 생활정보

복부 초음파로 알 수 있는 것, 비용, 금식시간

by 니트롱겐 2025. 10. 26.
반응형

복부 초음파로 알 수 있는 것(질병), 검사 비용과 주기

복부 초음파란?

복부 초음파는 인체의 복부 부위에 위치한 장기들을 고해상도 초음파로 들여다보는 비침습적 영상 검사입니다. 방사선 노출이 없고, 검사 시간이 짧으며, 비교적 저렴한 비용으로 복부 초음파로 알 수 있는 것이 많다는 장점 덕분에 다양한 복부 질환의 선별과 진단에 널리 사용됩니다.

복부 초음파로 알 수 있는 것

특히, 복통·복부 팽만·소화불량·황달 등의 증상 원인을 확인하거나 건강검진 목적으로 시행되기도 하며, 만성 질환자의 정기적인 추적검사 도구로도 쓰입니다.

주요 복부 초음파로 알 수 있는 것 (질병)

복부 초음파는 아래와 같은 장기와 관련된 질환 진단에 사용됩니다.

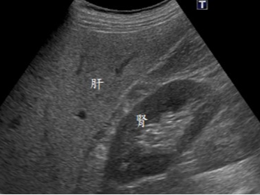
간(간장)

  • 지방간, 간염(급성·만성), 간경변
  • 간암, 간낭종, 간농양
  • 간혈관종, 간의 종대 또는 위축

담낭 및 담도

  • 담석증(담낭결석, 담관결석)
  • 담낭용종, 담낭염
  • 담도 폐쇄 및 담도확장
  • 담도암, 담낭암

 

췌장

  • 췌장염(급성·만성), 췌장암
  • 췌장 낭종, 가성 낭종
  • 췌관 확장 및 주위 구조와의 관계

신장(콩팥)

  • 신장결석, 수신증
  • 신장종양(신세포암 등), 낭종
  • 신우신염, 요로 폐쇄
  • 다낭신증, 신장 위축

비장

  • 비장비대(비장종대)
  • 비장경색, 종양, 낭종

대동맥 및 기타 혈관

  • 복부 대동맥류(AAA)
  • 혈관 협착, 혈전 형성

기타

  • 림프절 비대(복강 내 림프절 종대)
  • 복수(복강 내 액체), 장기 주변 농양
  • 맹장염, 탈장(서혜부 포함)

이처럼 복부 초음파는 단순히 '보는 검사'가 아니라, 질병을 빠르게 감별하거나 중대한 병변 여부를 스크리닝하는 데 필수적인 검사입니다.

복부 초음파 검사가 필요한 경우

의료진은 다음과 같은 증상이 있을 때 복부 초음파 검사를 권장합니다.

  • 오른쪽 윗배나 좌상복부 통증
  • 원인 모를 복부 팽만 또는 체중 감소
  • 소화불량, 구역질, 구토 등 지속되는 소화기 증상
  • 황달(눈이나 피부가 노랗게 변함)
  • 혈액검사에서 간수치(GOT/GPT), 빌리루빈, 알칼리포스파타제 수치 이상
  • 만성 B형 또는 C형 간염 보유자
  • 간경변 환자의 간암 감시 목적
  • 신장 기능 저하 또는 소변 이상 소견
  • 암 이력자의 추적검사 목적

복부 초음파 검사 절차

검사는 다음과 같은 절차로 진행됩니다.

  1. 복부 초음파 금식시간: 검사 전 최소 6시간 금식이 필요합니다. 위장관 내 공기나 음식물이 초음파 전파를 방해하기 때문입니다.
  2. 검사자 준비: 상의를 걷어 올리고 편안하게 눕습니다.
  3. 젤 도포 및 탐촉자 접촉: 복부에 초음파 젤을 바른 후 탐촉자(probe)를 이용해 간·담낭·췌장·신장·비장·대동맥 등 장기를 관찰합니다.
  4. 검사 시간: 보통 10~20분 정도 소요됩니다.
  5. 결과 확인: 영상의학 전문의가 판독 후 의사에게 전달, 추가 진단 또는 치료 계획 수립

통증이 없고 방사선 노출도 없어 임산부, 노약자 모두에게 안전하게 사용할 수 있습니다.

복부 초음파 비용

복부 초음파 검사 비용은 병원 종류, 보험 적용 여부, 진단 목적에 따라 차이가 있습니다.

일반적인 복부 초음파 비용 범위

  • 건강보험 적용 시 본인부담금: 약 1만 5천원~3만원 수준
  • 비급여(건강검진 포함) 검사: 약 10만 원~16만 원
  • 종합병원·대학병원일수록 비용 높음
  • 단순 복부 초음파 vs 상복부+하복부 정밀 초음파 여부에 따라 다름

비급여 항목 예시

  • 정밀초음파, 부위 추가, 3차 병원 외래검사
  • 단순 증상 없이 건강검진 목적의 자비 검사

병원별 예시

  • 동네 의원/내과: 약 10만~13만 원
  • 종합병원: 13만~16만 원
  • 대학병원: 약 15만~20만 원(비급여 시)

따라서 반드시 병원에 방문 전 보험 적용 여부, 정밀 초음파 필요 여부, 검사 포함 범위를 확인해야 과잉 비용을 피할 수 있습니다.

복부 초음파 검사 주기 및 시기

복부 초음파 검사는 일반적인 건강검진처럼 매년 정기적으로 필수는 아닙니다. 하지만 다음의 경우에는 주기적 검사가 권장됩니다.

주기적 검사가 필요한 경우

  • 만성 B형, C형 간염 보유자: 6개월~1년에 한 번 (간암 감시 목적)
  • 간경변증 환자: 6개월 주기
  • 이전 간 종양 발견 이력자: 3~6개월 주기 추적검사
  • 지속적인 복통·소화불량 환자: 정기적인 검사 필요
  • 담낭용종, 췌장 낭종 등 발견 시: 6개월~1년 추적 관찰
  • 신장결석, 낭종 등 이력자: 연 1회 검토

건강한 일반인

  • 특별한 증상이나 병력 없을 경우 정기 초음파는 필수 아님
  • 단, 건강검진 프로그램 중 선택 항목으로 진행 가능

복부 초음파 검사 장단점

장점

  • 방사선 노출 없음
  • 빠르고 간단한 검사
  • 비침습적이고 통증 없음
  • 대부분 보험 적용 가능
  • 다양한 장기 동시 관찰 가능

단점

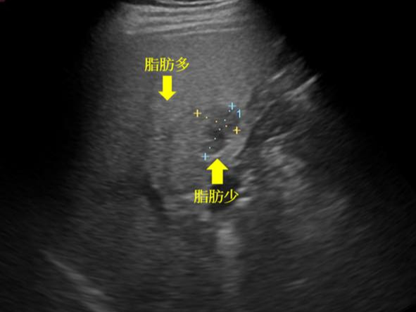
  • 장내 가스·비만 등의 경우 영상 선명도 저하
  • 영상 해석이 검사자의 숙련도에 따라 차이 발생
  • 공기나 뼈에 가려지면 정확도 제한
  • 장기 외 구조(위장관 내부 등)는 제한적

복부 초음파 외 대체/보완 검사

  • CT(전산화단층촬영): 암 진단, 전이 확인, 고해상도 분석
  • MRI: 간암, 담관암, 췌장질환 정밀 진단
  • 내시경초음파(EUS): 췌장·담낭 세밀 관찰
  • 혈액검사: 간수치, 종양표지자 등과 함께 병행

결론

복부 초음파는 비교적 저렴한 비용, 간단한 검사 절차, 방사선 노출 없는 안전성 등으로 인해 복부 내 장기 상태를 진단하거나 질환을 선별하는 데 매우 유용한 영상검사입니다. 간, 담낭, 췌장, 신장, 비장 등 다양한 장기에 대한 구조적·기능적 이상을 동시에 확인할 수 있으며, 검사 목적에 따라 건강보험 적용이 가능하므로 복부 통증이나 이상 증상이 있다면 적극적으로 시행해보는 것이 바람직합니다. 주기적으로 정해진 검사는 아니지만 만성 질환자나 기존 병변이 확인된 경우, 혹은 암 감시 목적이 있는 경우에는 정기적인 초음파 추적관찰이 매우 중요합니다. 단, 병원마다 비용과 포함 항목이 상이하므로 사전 문의를 통한 정보 확인이 필요합니다.

반응형